カテゴリー:
矯正歯科学童期・キッズ(6~15歳)
矯正症例15 受け口(前歯反対咬合)

Before

After
症例情報
| 症状 | 受け口(前歯反対咬合)を主訴に来院されました。 |
|---|---|
| 年齢・性別 | 17歳女性 |
| 治療期間 | 4年間(ブラケット装着期間1年) |
| 治療方法 | 受け口(前歯反対咬合)を主訴に来院されました。 前歯の反対咬合を放置することで上の顎の成長を妨げるおそれがあります。 まずは前歯の改善のみを行います。 ↓ 前歯の反対咬合の改善は4ヶ月程度で改善しました。 その後装置を外して奥歯の永久歯への生え変わりを待ち、本格矯正に移行します。 その間は舌癖と呼吸の正常化のためMFTを行い定期的クリーニングでカリエスの予防も行います。 ↓ 永久歯への生え変わりも終了したので本格矯正を開始しました。 ↓ 歯軸を治します。 ↓ 本格矯正の期間は1年と短期間で終了しました。 |
| 費用 | 635000円(経過観察・月極費用含む) |
| デメリット・注意点 | 金具からワイヤーがとびでて傷を作ることがあります。 |
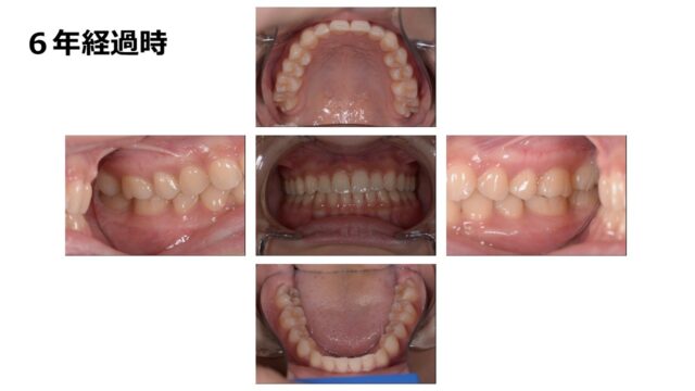
| 備考 | 矯正終了から6年経過してもかみ合わせ咬み合わせは安定しています。 第2大臼歯もしっかりと噛み合っています。 7歳から適切な時期に矯正治療の介入を行い、 MFTにて舌癖などの改善を行ったことが 良好な経過につながっていると考えます。 予防もできているので虫歯は1本もありません。 |

⇒前歯の反対を主訴に来院されました。
前歯の反対咬合を放置することで上の顎の成長を妨げるおそれがあります。
まずは前歯の改善のみを行います。

⇒前歯の反対咬合の改善は4ヶ月程度で改善しました。
その後装置を外して奥歯の永久歯への生え変わりを待ち、本格矯正に移行します。
その間は舌癖と呼吸の正常化のためMFTを行い定期的クリーニングでカリエスの予防も行います。

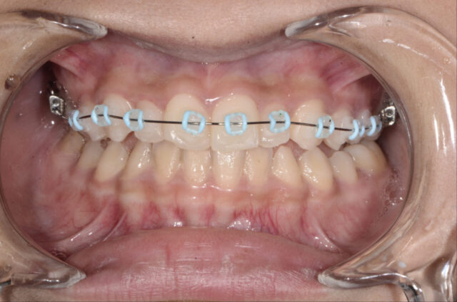
⇒永久歯への生え変わりも終了したので本格矯正を開始しました。

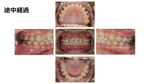
⇒途中経過です。歯軸を治しています。

⇒術前に前歯の反対咬合を治しているので本格矯正の期間は1年と短期間で終了しました。
第2大臼歯は生えてきている途中ですが位置に問題ないのでこのまま経過を見ます。

⇒かみ合わせは安定しています。第2大臼歯もしっかりと噛み合っています。
7歳から適切な時期に矯正治療の介入を行い、
MFTにて舌癖などの改善を行ったことが良好な経過につながっていると考えます。
予防もできているので虫歯は1本もありません。