
MESSAGEお口の健康は心と体の健康に繋がっています
皆様は「真の健康」についてどうお考えでしょうか?私は「心の健康」と「体の健康」、この2つが両輪となり真の健康を得られると考えています。この2つの健康に大きく関わっているのが「お口の健康」です。きらら歯科クリニックでは『素敵な笑顔をプロデュース』をスローガンに「お口の健康」を得ることで「真の健康」を得られるようお手伝いができればと考えています。
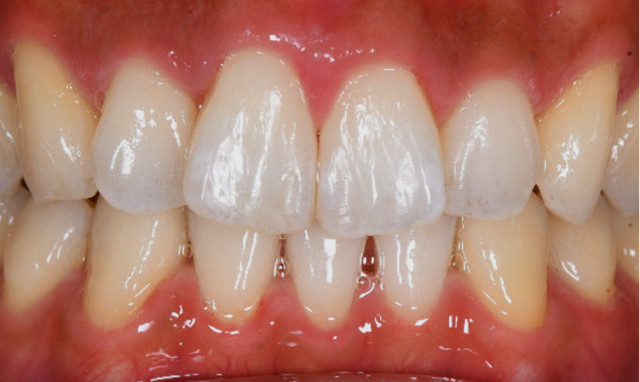
PRECISIONマイクロスコープによる精密歯科治療
当クリニックでは、マイクロスコープ(歯科用顕微鏡)を設置し、
精度の高い治療を心がけております。
マイクロスコープを使用して肉眼の2倍~24倍に拡大して診ることにより、
これまで肉眼のみで確認していた治療の様子を拡大し、
より正確でより精密に、そして安全に治療を行うことが可能となり、質の高い治療へと導くことができます。
TREATMENT診療案内

IMPLANT
インプラント専門医による 質の高い治療を提供
経験豊富なインプラント専門医が治療にあたります。安全第一で、分かりやすい説明と丁寧な治療をご提供いたします。また、歯と骨の状態を確認して、症状に合わせて3種類のインプラントを使い分けしております。治療後は一生使えるよう、一人ひとりに合わせた治療を行います。

ORTHODONTICS
小児矯正から成人矯正まで美しい歯並びのサポートを
歯並びの矯正治療を行うことで、口元に美しさをもたらしてくれます。矯正治療は子どもが行うことはもちろん、大人になってからでも決して遅くはありません。当クリニックでは年齢に合わせた歯列矯正をご案内いたします。

AESTHETIC
機能性と審美性を追求した審美治療で素敵な笑顔を
審美歯科では、ただ単によく噛め機能的に問題ないといった状態から、さらに見た目も高いレベルで満足できる状態を目指します。人にはそれぞれ異なる審美感があり、歯の白さや形、歯並びなどをどこまで求めるのかは個人差があります。よって、審美歯科の目標は患者様がこうなりたいと思うところがゴールとなります。

PREVENTIVE
定期的なメインテナンスでお口の健康を守る
近年、歯の予防が大切ということが広まりつつあります。歯磨きを毎日していても虫歯になってしまうことも多く、自己流の予防だけでは虫歯や歯周病は完全に防ぐことができません。当クリニックでは自分の虫歯リスクを知ってもらい、一人ひとりに合わせたお口のケアを行います。



