カテゴリー:
すべての投稿
矯正症例16(歯の凹凸・牽引)

Before

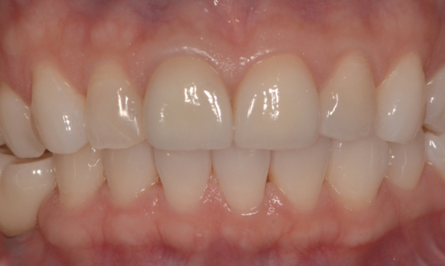
After
| 症状 | 前歯の歯並びを気にされて来院されました。 顎が小さくこのままでは生え変わってくる永久歯がきれいに並ぶスペースがありません。 |
|---|---|
| 年齢・性別 | 伊那市 8歳 女児 |
| 治療期間 | 4年 |
| 治療方法 | まずは顎の成長をさせるために拡大装置を装着します。 ブラケット矯正をしながら、生え変わらない第2小臼歯を牽引します。 歯列内に誘導したら、調整して綺麗な歯並びにしていきます。 |
| 費用 | 792,000円(税込み)月極処置料含む |
| デメリット・注意点 | 金具からワイヤーがとび出て傷を作ることがあります。 |
| 備考 | 永久歯が深く埋まってなかなか生えてこれない場合や 変な方向に埋まってしまって生えてこれない場合も少なくありません。 そのような場合でもCTで位置を確認して牽引してくることは可能です。 詳細は、『詳しく見る』をクリックしてください! |
審美歯科
前歯を綺麗にしたい2 審美歯科症例

Before

After
| 症状 | 左上前歯に色調、形態が不良な被せものが入っています。 歯肉の形態も左右対称ではありません。 |
|---|---|
| 年齢・性別 | 31歳 女性 南箕輪村 |
| 治療期間 | 2ヶ月 |
| 治療方法 | セラミッククラウン3本 |
| 費用 | 444000円(税込み) |
| デメリット・注意点 | 仮歯の時期は取れることがあります。 |
| 備考 | 自然な色調のセラミッククラウンが装着できました。歯肉の形態も左右対称に修正できました。 |
歯周病
エムドゲイン(骨再生療法)症例

Before

After
| 症状 | 年齢は若いのですが臼歯部で特に歯周病が進行し骨の欠損が見られます。 おそらく歯周病菌の感受性が高い(歯周病になりやすい方)と思われますので 徹底的な汚染物の除去と定期的なプロフェッショナルケアが必要と考えられます。 歯肉も一見わかりにくいのですが歯間部が赤黒く変色して出血も認められます。 |
|---|---|
| 年齢・性別 | 39歳 女性 |
| 治療期間 | 7年間 |
| 治療方法 | 歯周基本治療を行った後、エムドゲインによる再生療法を行いました。 通常の外科処置だけでは骨の再生はほとんど起こりませんが、 エムドゲインを使用することで歯周組織の再生が期待できます。 術後2週間 歯肉は一時的に退縮します。こまめなプラークコントロールが重要です。 ↓ 術後 3年 定期的なメンテナンスは1ヶ月毎通院しています。 まだ歯肉は退縮していますが、引き締まってきました この頃は清掃性重視で歯間ブラシも使用しています。 ↓ 術後 5年 歯肉の退縮もかなり改善してきました。 歯間ブラシはできるだけ使わず、フロスと歯ブラシのみでの清掃に切り替えています。 ↓ 術後 7年 歯肉の退縮はほとんど改善しました。 レントゲン上でもかなりの骨の再生を認めます。 右上第一小臼歯は骨の欠損が大きかったため完全な再生はしていませんが それでもかなりの再生を認めます。再度の再生療法を行うか検討中です。 |
| 費用 | 220,000円(4箇所) |
| デメリット・注意点 | 外科手術後に歯肉が腫れる場合があります。 |
| 備考 | 現在 47歳になりましたが、初診時と比較してかなり良い状態を維持しています。 ただ歯周病に対する感受性が変わったわけではありませんので、 プラークコントロールが悪化したりメンテナンスを怠ると以前の状態に戻っていくおそれがあります。 幸い患者さんはそのことをよく理解してくれており定期的なメンテナンスも欠かさず来院してくれています。 適切な時期に適切な治療を行い、患者さんも意識を高く予防していけば歯周病は十分改善できる病気です。 重度になる前であれば治療や予防はより負担なくできます。 |
矯正歯科学童期・キッズ(6~15歳)
矯正症例15 受け口(前歯反対咬合)

Before

After
| 症状 | 受け口(前歯反対咬合)を主訴に来院されました。 |
|---|---|
| 年齢・性別 | 17歳女性 |
| 治療期間 | 4年間(ブラケット装着期間1年) |
| 治療方法 | 受け口(前歯反対咬合)を主訴に来院されました。 前歯の反対咬合を放置することで上の顎の成長を妨げるおそれがあります。 まずは前歯の改善のみを行います。 ↓ 前歯の反対咬合の改善は4ヶ月程度で改善しました。 その後装置を外して奥歯の永久歯への生え変わりを待ち、本格矯正に移行します。 その間は舌癖と呼吸の正常化のためMFTを行い定期的クリーニングでカリエスの予防も行います。 ↓ 永久歯への生え変わりも終了したので本格矯正を開始しました。 ↓ 歯軸を治します。 ↓ 本格矯正の期間は1年と短期間で終了しました。 |
| 費用 | 635000円(経過観察・月極費用含む) |
| デメリット・注意点 | 金具からワイヤーがとびでて傷を作ることがあります。 |
| 備考 | 矯正終了から6年経過してもかみ合わせ咬み合わせは安定しています。 第2大臼歯もしっかりと噛み合っています。 7歳から適切な時期に矯正治療の介入を行い、 MFTにて舌癖などの改善を行ったことが 良好な経過につながっていると考えます。 予防もできているので虫歯は1本もありません。 |
精密歯科治療インプラント審美歯科
審美症例(全顎)

Before

After
| 症状 | 右上犬歯が深い部分で虫歯になっていて保存できません。 前歯の歯並びが良くなく隙間が空いています。不適合の銀歯が奥歯に装着されています。 |
|---|---|
| 年齢・性別 | 35歳 南箕輪村 |
| 治療期間 | 2年5ヶ月(矯正期間含む) |
| 治療方法 | まずは矯正治療をインビザラインで行います。(前歯の隙間は舌癖の可能性もあるので舌のトレーニングも合わせて行いました。) 矯正終了後右上犬歯を抜歯してインプランと埋入し、銀歯をセラミックへ交換しました。 セラミッククラウン5本 セラミックインレー7本 インプラント1本 インビザラインにて矯正治療 |
| 費用 | 2622000円(税込み) |
| デメリット・注意点 | 仮歯の時期は取れることがあります。 |
| 備考 | 術後、矯正治療で歯列も整い審美性も改善しました。メタルフリーになったことでお口の中が明るくなりました! |