ブログ
「セルフホワイトニングと医療用ホワイトニングって何が違うの?」
あけましておめでとうございます。
院長の松井です。
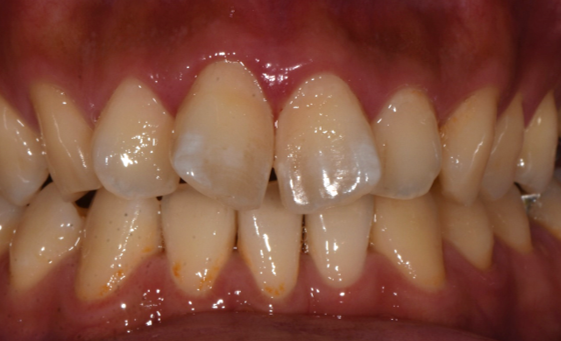
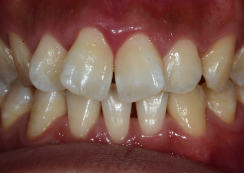
最近、セルフホワイトニングを行っている施設が増えてきました。
歯科医院で行う医療用のホワイトニングと何が違うかご存知でしょうか?
今日のブログでは医療用ホワイトニングとセルフホワイトニングの違いについてまとめています。
セルフホワイトニングと医療用ホワイトニングの違いは、
「誰が行うか」「使える薬剤」「白くなる仕組みと効果」にあります。
セルフホワイトニングは、サロンや自宅で自分自身が行うホワイトニングです。
使用できる薬剤は法律で制限されており、
歯の表面の汚れや着色(コーヒー・お茶・タバコなど)を落とすことが目的です。
そのため、歯本来の色以上に白くすることはできません。
一方、医療用ホワイトニングは歯科医院で歯科医師や歯科衛生士が行います。
過酸化水素などの医療用薬剤を使用できるため、歯の内部にある色素まで分解し、
歯そのものの色をより白くすることができます。
その分、効果が高く、短期間で白さを実感しやすいのが特徴です。
ただし、知覚過敏が出ることがあり、セルフホワイトニングに比べて費用は高くなります。
簡単に言うと、セルフホワイトニングは「歯の表面をきれいにするもの」、
**医療用ホワイトニングは「歯自体の色をより白くするもの」**という違いがあります。
歯科医院でクリーニングを行えばセルフホワイトニングの効果は達成されますし、
虫歯や歯周病の見逃しもなくなります。
より白くされたい場合は医療用ホワイトニングの提案もできますので、
より安全、安心に行うためにぜひ医療機関にご相談ください。
![]()






